2025/07/02
1335
小
中
大
体检查出“肺结节”
心头一紧?
别自己吓自己!
肺结节≠肺癌
它只是肺部的一个“小影子”
超过90%的肺结节是良性的!
但查出后该怎么做?
哪些结节需要警惕?
科普来了
一、什么是肺结节?
肺结节是指胸部CT上直径≤3厘米的局灶性、类圆形、密度增高的实性或亚实性肺部阴影。肺结节就像是肺上长了个“小坨”或“小疤”,只是一种客观的影响描述,并不是一种疾病的诊断。
肺结节的分类
▲根据结节的个头大小,可以分为
肺微小结节:直径小于5毫米(绝大多数为良性,需定期随访)
肺小结节:直径5-10毫米(需结合形态特征判断风险)
肺结节:直径10-30毫米(需警惕恶性可能)
▲根据结节的密度,可以分为
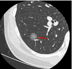
纯磨玻璃结节(类似荔枝果肉)、混合磨玻璃结节(类似荔枝果肉与果核并存)(恶性风险较高)、实性结节(类似荔枝果核)。
纯磨玻璃结节 | 混合磨玻璃结节 | 实性结节 |
二、为啥会长肺结节?
1.职业因素
一些职业长期暴露于特殊环境中, 如接触氯乙烯、石棉、氡等有害物质,可能导致肺 部受损并引发炎症反应,最终形成肺结节。
2.感染因素
比如分枝杆菌感染( 如肺结核 )、真菌感染、球形肺炎、肺脓肿、化脓性栓子、诺卡氏菌、 及肺动静脉畸形等疾病也可能导致肺结节的出现。

3.免疫介导因素
类风湿关节炎、结节病、肉芽肿病等。
4.其他诱发因素
长期吸烟、暴露于二手烟环境中以及环境中有害气体或粉尘的吸入等都会引起肺结节的发病率增高。

三、查出肺结节该怎么办?
1.不必过度焦虑
首先大家可以放心的是:发现肺结节不等于患了肺癌。研究表明,体检发现的肺结节中,90%以上为良性病变或陈旧性病变。
2.及时咨询专业医生,视情况进行检查和针对性治疗
大家拿着体检报告,及时就医,找专业胸外科医生进行评估。医生会仔细分析结节的大小、形状、密度、边缘特征、生长速度等细节,结合您的年龄、吸烟史、家族史、疾病史等,初步判断结节良恶性风险。
如果医生初步判断结节性质不明,可能会建议您做进一步的检查。
穿刺活检是获取病理诊断的“金标准”,通过取出少量结节组织进行病理检查,明确结节的性质。

华西医院梅建东教授定期到
我院胸外科查看病例并指导治疗
良恶性结节的处理方式: ●良性结节:医生会根据情况告知随访建议或无需特殊处理,解除您的担忧。 ●恶性或高度怀疑恶性(早期肺癌):手术是可能实现治愈的最佳选择。胸外科医生会评估您的肺功能、身体状况是否能耐受手术,给您制定最优手术方式。精细化护理也将贯穿于整个围手术期:针对患者的个体差异制定个性化的活动指导,如呼吸锻炼、疼痛管理,加速康复。 |
3.一定要谨遵医嘱,定期复査
即使是良性结节或术后患者,也应遵医嘱定期复查(少数肺良性结节在随访的过程中可能会出现恶变)。医生需定期观察肺结节直径是否增大、实性成分是否增加、形态是否变化等情况来判断病情,才能早发现、早治疗。

4.重视健康生活方式
肺结节患者可以及时调整生活方式,戒烟并远离二手烟,增加富含抗氧化物质的食物如绿色蔬菜、坚果等摄入,适度运动锻炼,如快走、游泳等,有利于促进肺健康,增强肺功能。
特别提示 吸烟数≥400支/年的40岁以上男性为肺癌筛查重点人群,建议每年进行低剂量螺旋CT检查。 |
科普作者(做成海报)

唐秀琼
中共党员
主管护师
心理咨询师(高级)
中江县人民医院胸外科护理组长,从事临床护理工作14年,多次荣获优秀共产党员、优质护理明星。擅长胸外科疾病的护理。发表论文2篇,科普3篇,县级科研1项,参与新业务技术2项。
上一条 2025-07-14
风热、风寒感冒有何区别?如何正确用药?一文了解下一条 2025-06-23
这类高血压可通过微创手术治好!